Group B Streptococcus Colonisation

Written by Laura Burney Ellis

Last updated 4th December 2024
6 Revisions

Group B Streptococcus Colonisation - Podcast Version

TeachMeObGyn

0:00 / 0:00

Group B streptococcus (GBS) is a commensal bacterium found in the vagina or rectum of ~25% of pregnant women.

In most cases, this colonisation causes no symptoms or sequelae. However, sometimes, particularly in the presence of certain risk factors, GBS can cause an infection (typically sepsis, pneumonia, or meningitis) in the neonate – early onset GBS disease of the newborn.

The incidence rate of early onset GBS is 0.05%. There is a 5% mortality rate in babies that develop GBS.

In this article, we shall look at the pathophysiology, clinical features and management of group B streptococcal colonisation.

Pathophysiology

Streptococci are gram positive cocci, which typically grow in chains.

They can be classified into alpha, beta and gamma haemolytic groups. Beta haemolyic steptococci are further subdivided into groups A, B, C, D, F, G and H. The pathogen in Group B streptococcus is Streptococcus agalactiae.

In additional to GBS disease of the newborn, Streptococcus agalactiae can also cause chorioamnioitis or endometritis in the mother.

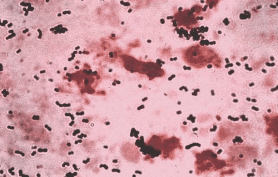
Fig 1
Gram stain of streptococcus agalactiae; group B streptococcus.

Risk Factors

The risk factors for colonisation with group B streptococcus are poorly understood.

However, risk factors for GBS infection in the neonate are well documented, and include:

  • GBS infection in a previous baby
  • Prematurity <37 weeks
  • Rupture of membranes >24 hours before delivery
  • Pyrexia during labour
  • Positive test for GBS in the mother
  • Mother diagnosed with a UTI found to be GBS during pregnancy

Clinical Features

Maternal vaginal or rectal colonisation does not cause symptoms. However, GBS that leads to infection may manifest in different ways:

  • UTI – frequency, urgency, dysuria
  • Chorioamnioitis – fevers, lower abdominal/uterine tenderness, foul discharge, maternal and/or fetal tachycardia (occurs intrapartum).
  • Endometritis – fevers, lower abdominal pain, intermenstrual bleeding, foul discharge (occurs postpartum).

After delivery, typical symptoms of neonatal infection include pyrexia, cyanosis, difficulty breathing and feeding, and floppiness.

Investigations

The presence of group B streptoccous is detected using swabs – a single swab is used first for the vagina, then the rectum (or two separate swabs can be used). These are cultured on ‘enriched culture medium’. PCR can also be used to detect GBS on vaginal or rectal swabs.

GBS may be detected on urine cultures if the woman is symptomatic for a UTI.

Screening

There is some debate about testing every pregnant woman for GBS colonisation in the vagina or rectum. In the USA, women are typically screened between weeks 35 and 37.

In the UK, different hospital trusts have different policies on testing for GBS in pregnancy, but RCOG recommends that it is not screened for routinely, so only women identified as being high risk for GBS infection will be tested.

High risk may include those with symptoms of UTI or chorioamnionitis during pregnancy, those with STI symptoms pre-pregnancy or those with a previous GBS infected baby.

Rationales behind not screening routinely:

  • Most GBS infections occur in the preterm population – and these would be missed by screening as they would likely have already delivered by the screening date
  • Not all women who screen positive at screening are GBS positive at delivery – and these women would receive inappropriate treatment.

Prevention

High dose intravenous penicillins (usually benzylpenicillin, or cefuroxime or clindamycin in penicillin-allergic patients) throughout labour will be indicated in women with:

  • GBS positive swabs
  • A UTI caused by GBS during this pregnancy
  • Previous baby with GBS infection.
  • Pyrexia during labour
  • Labour onset <37 weeks
  • Rupture of membranes >18 hours

If there is rupture of membranes in a woman of >37 weeks gestation known to be GBS positive, she will be induced immediately (to reduce the amount of time the fetus is exposed).

There is a subset of women who, in the UK, can choose whether or not to have antibiotics in labour. This is women who have have been GBS positive in a previous pregnancy, but where the baby was unaffected. These women are typically tested during weeks 35-37 to see whether they are carrying GBS in the current pregnancy (50% of them will be) and this helps stratify the risk to the neonate.

It is important to note that antibiotics are not indicated in planned caesarean sections, as it is the rupture of membranes that exposes the baby to GBS. In addition, GBS carrier status does not affect the methods used for induction of labour.

Do you think you’re ready? Take the quiz below

Pro Feature - Quiz
Group B Streptococcus Colonisation

Question 1 of 1

Submitting...
Rate question:
You scored
0%
Skipped: 0/1

More Questions Available

Upgrade to TeachMeObGyn Pro

Test your knowledge with a wide range of high-quality multiple-choice questions.

Learn More